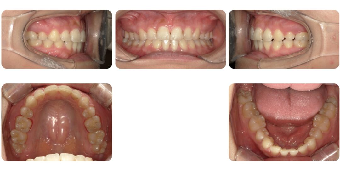
下顎左右犬歯先天性欠如を伴う叢生|初診時24歳

 
 
矯正治療前
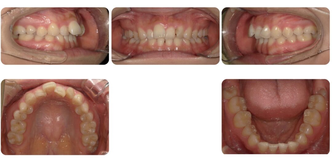
矯正治療後

ご相談内容

上の前歯が片方前に出ている

治療内容

成人歯科矯正 上顎左右第一小臼歯抜歯 マルチブラケット装置

治療期間

3年4ヶ月

治療費用

自由診療 基本料金審美ブラケット¥770,000(開始当時)、処置料¥5,500

  • 治療のリスク、副作用を入力してください。
    入力がない場合は、「治療のリスク・副作用」のボタンと本文は表示されません。
  • 文章入力します

当院では、患者様が抱えていらっしゃるお口のお悩みや疑問・不安などにお応えする機会を設けております。
どんなことでも構いませんので、私たちにお話をしていただけたらと思います。

予約に関する重要なご案内
衛生管理を徹底し、患者様を安全に迎えるための準備をしている様子 待ち時間も退屈することなく、安心して過ごせるよう配慮された待合室の様子 患者様がリラックスして相談できるよう配慮された、居心地の良い空間 滅菌処理され、整然と並べられた様々な種類の治療用チップ 患者様が視覚的に理解できるよう、顎の模型を使ってカウンセリングしている様子
診療時間
9:30 〜 13:30
14:30 〜 18:00

休診日:木曜・日曜・祝日 
※祝日のある週の木曜は診療
9:00 〜 13:0014:00 〜 17:30

東大和市、武蔵村山市、立川市、小平市よりアクセス良好
西武拝島線・多摩モノレール線「玉川上水駅」徒歩1分

ソラハレ歯科・矯正歯科のアクセスマップ。西武拝島線および多摩モノレールの玉川上水駅北側(東大和市と武蔵村山市と立川市の市堺)に位置し、芋窪街道沿いにあります。近隣にはモスバーガー、プリンス進学院、いなげやがあり、専用駐車場として第1・第2駐車場をご用意しています。

〒207-0022
東京都東大和市桜が丘3-44-32
コーシャハイム玉川上水1号棟1-1号室

アクセス・初診時の診療の流れはこちら

View More