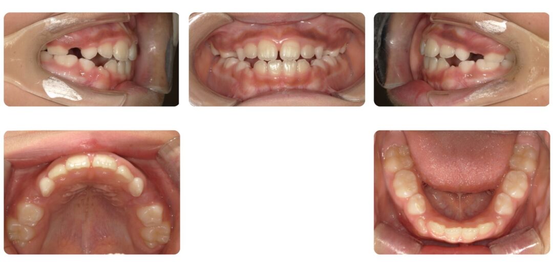
反対咬合を伴う骨格性開咬|初診時7歳
ご相談内容
口呼吸が多く口が開いている、物を噛む回数が少ない
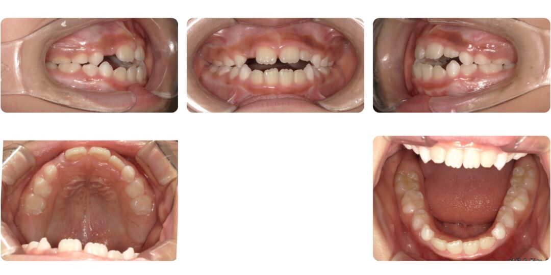
治療内容
第一期治療 プレオルソによる歯列矯正
治療期間
1年5ヶ月
治療費用
自由診療 基本料金¥330,000 処置料¥3,300
- 歯磨きがわるい場合には、虫歯や歯肉炎が進行することがあります。
- 顎関節が弱い方の場合、関節異常が出ることがあります。矯正治療中顎の関節に音がする、痛くなる、口が開きにくくなる、といったような症状が出た場合には直にお知らせください。その場合は顎関節症の治療をすることがあります。 長期の矯正治療により歯根吸収が生じる恐れがあります。
- 歯ぐきや歯槽骨が多少やせることがあります。そのため、術前の状態より歯肉が退縮し、隙間ができることがあります。
- 体質により金属アレルギーを引き起こす事があります。
- 治療後、知覚過敏や痛みなどが出たり、吸収された骨が再生しなくなることがあります。
- 歯肉が退縮して歯が長く見えたり、歯と歯の隙間が広くなったりすることがあります。