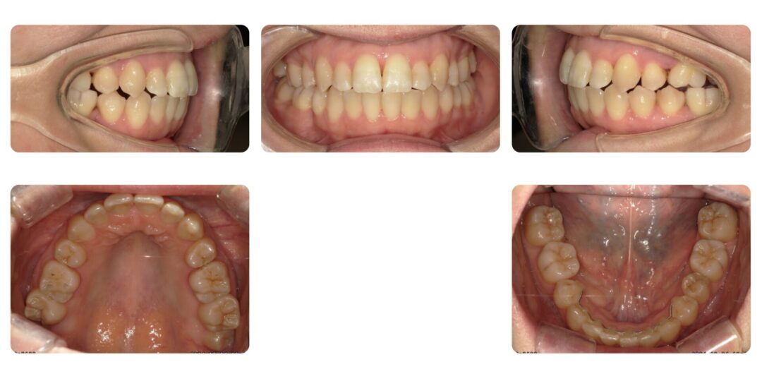
重度叢生を伴う骨格性上顎前突|初診時39歳

 
 
矯正治療前
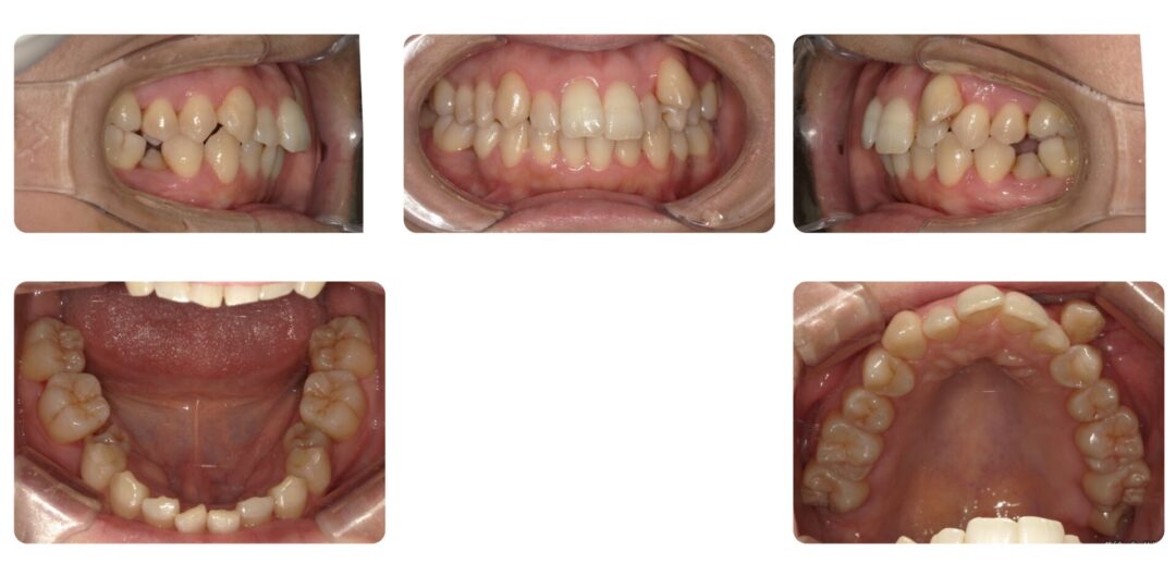
矯正治療後

ご相談内容

左上の犬歯が出ている

治療内容

第二期治療 上顎左右4番、右下5番抜歯 マルチブラケット装置

治療期間

2年3ヶ月

治療費用

自由診療 第二期治療基本料金メタルブラケット¥660,000、処置料¥5,500(初診時)

  • 歯磨きがわるい場合には、虫歯や歯肉炎が進行することがあります。
  • 顎関節が弱い方の場合、関節異常が出ることがあります。矯正治療中顎の関節に音がする、痛くなる、口が開きにくくなる、といったような症状が出た場合には直にお知らせください。その場合は顎関節症の治療をすることがあります。 長期の矯正治療により歯根吸収が生じる恐れがあります。
  • 歯ぐきや歯槽骨が多少やせることがあります。そのため、術前の状態より歯肉が退縮し、隙間ができることがあります。
  • 体質により金属アレルギーを引き起こす事があります。
  • 治療後、知覚過敏や痛みなどが出たり、吸収された骨が再生しなくなることがあります。
  • 歯肉が退縮して歯が長く見えたり、歯と歯の隙間が広くなったりすることがあります。
Tel. 0120-00-6480

当院では、患者様が抱えていらっしゃるお口のお悩みや疑問・不安などにお応えする機会を設けております。
どんなことでも構いませんので、私たちにお話をしていただけたらと思います。

予約に関する重要なご案内
衛生管理を徹底し、患者様を安全に迎えるための準備をしている様子 待ち時間も退屈することなく、安心して過ごせるよう配慮された待合室の様子 患者様がリラックスして相談できるよう配慮された、居心地の良い空間 滅菌処理され、整然と並べられた様々な種類の治療用チップ 患者様が視覚的に理解できるよう、顎の模型を使ってカウンセリングしている様子
診療時間
9:30 〜 13:30
14:30 〜 18:00

休診日:木曜・日曜・祝日 
※祝日のある週の木曜は診療
9:00 〜 13:0014:00 〜 17:30

東大和市、武蔵村山市、立川市、小平市よりアクセス良好
西武拝島線・多摩モノレール線「玉川上水駅」徒歩1分

Tel. 0120-00-6480

ソラハレ歯科・矯正歯科のアクセスマップ。西武拝島線および多摩モノレールの玉川上水駅北側(東大和市と武蔵村山市と立川市の市堺)に位置し、芋窪街道沿いにあります。近隣にはモスバーガー、プリンス進学院、いなげやがあり、専用駐車場として第1・第2駐車場をご用意しています。

〒207-0022
東京都東大和市桜が丘3-44-32
コーシャハイム玉川上水1号棟1-1号室

アクセス・初診時の診療の流れはこちら

View More